急性虫垂炎
当院での診療経過
- 若い男性
- 前々日からみぞおちの痛み、徐々に右下腹部に痛みは移動し微熱あり、歩くと響くようになってきた
→典型的な虫垂炎の経過です。エコーで虫垂腫大あり、外科に紹介。
虫垂炎ってなに?
虫垂炎(ちゅうすいえん)は、盲腸の先にある袋状の臓器「虫垂」に炎症が起こる病気です。
俗に「盲腸」と呼ばれている病気です。
10〜30代に多いですが、全年齢で起こり得ます。
軽症なら抗菌薬で治まることもありますが、穿孔すると腹膜炎となり命に関わるため、早期診断・治療が大切です。
俗に「盲腸」と呼ばれている病気です。
10〜30代に多いですが、全年齢で起こり得ます。
軽症なら抗菌薬で治まることもありますが、穿孔すると腹膜炎となり命に関わるため、早期診断・治療が大切です。
どうして起こるの?
- 虫垂の内部で細菌が繁殖するのが原因
- 原因
・リンパ濾胞の腫大(小児〜若年に多い)
・糞石(便のかけらが固まったもの)
・腫瘍
・バリウム検査後 - 閉塞 → 虫垂内圧上昇 → 血流障害 → 細菌感染 → 炎症・壊死・穿孔
どんな症状が出るの?
- 初期:みぞおち〜臍周囲痛(ぼんやりした痛み)
- 数時間後:痛みが**右下腹部(McBurney点)**に移動
- 食欲低下、吐き気、微熱
- 圧痛、反跳痛、筋性防御
⚠️ 重症化すると
- 強い持続的な腹痛
- 高熱
- 腹膜炎症状(全体にお腹が硬く痛む)
どうやって診断するの?
- 身体診察:右下腹部の圧痛点(McBurney点、Rovsing徴候など)
- 血液検査:白血球増多、CRP上昇
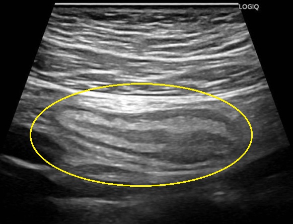
- 画像検査(腹部エコー・CT):虫垂腫大、糞石、壁肥厚、周囲の炎症。

急性虫垂炎の超音波(エコー)画像
治療はどうするの?
▶ 軽症
▶ 標準治療
・穿孔例ではドレナージ+抗菌薬を併用
▶ 穿孔・膿瘍合併例
- 抗菌薬投与で多くが改善
- ただし再発リスクがあり、根治は待機的手術
▶ 標準治療
- 虫垂切除術(手術)
・穿孔例ではドレナージ+抗菌薬を併用
▶ 穿孔・膿瘍合併例
- まず抗菌薬+ドレナージで炎症を落ち着かせる
- 後日、待機的虫垂切除を行う場合も
まとめ
| 項目 | 内容 |
| 病名 |
急性虫垂炎(盲腸) |
| 主な原因 | 虫垂内腔閉塞(糞石、リンパ組織腫大など) |
| 主な症状 | 心窩部痛 → 右下腹部痛、発熱、吐き気 |
| 診断 | 身体所見+血液検査+画像(エコー・CT) |
| 治療 | 治療 抗菌薬(軽症)、虫垂切除術(標準)、穿孔例はドレナージ併用 |
| 注意点 | 放置すると穿孔・腹膜炎で命に関わる |
患者さんへの注意点
虫垂炎は「最初はおへそ周りの痛みから、だんだん右下腹部に痛みが移る」のが特徴です。
放置すると穿孔して腹膜炎を起こし、命に関わることもあります。
「右下腹部が強く痛む」「発熱・吐き気を伴う」時は、我慢せず早めに受診してください。
当院ではかなり多くの虫垂炎の診断をしていますが、基本的には手術を検討すべき疾患であるため外科医に紹介しています。現在は緊急での手術は少なく、抗生剤で安定させてから予定手術が主流です。
放置すると穿孔して腹膜炎を起こし、命に関わることもあります。
「右下腹部が強く痛む」「発熱・吐き気を伴う」時は、我慢せず早めに受診してください。
- 腹痛より嘔吐や下痢が先に起こる場合は虫垂炎の可能性はかなり低いとされています。
- 最初から高熱が出る場合も虫垂炎の可能性は低いです。
- 嘔吐や高熱は虫垂炎が進行、虫垂が破れて膿がたまり腹膜炎になった際に多く見られます。
当院ではかなり多くの虫垂炎の診断をしていますが、基本的には手術を検討すべき疾患であるため外科医に紹介しています。現在は緊急での手術は少なく、抗生剤で安定させてから予定手術が主流です。

