虚血性大腸炎
当院での診療経過
- 70代女性
- 前日からの下腹部痛と血便5回、熱はなし、嘔吐なし。普段は便秘気味。
- 診察上は左腹部に圧痛あり。
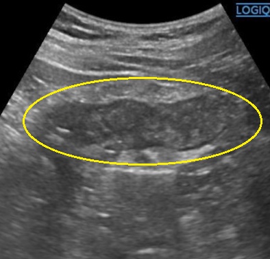
- エコー検査で下行結腸(左側の大腸)に璧肥厚あり、周囲に炎症あり。
- 採血はごく軽度の炎症あり、貧血なし。
- 抗生剤使用なし。
→虚血性大腸炎の診断、軽症であり外来通院。
虚血性大腸炎ってなに?
虚血性大腸炎(きょけつせいだいちょうえん)は、大腸の血流が一時的に悪くなって腸に炎症や潰瘍が起こる病気です。
多くは自然に治りますが、まれに壊死や穿孔に進むこともあるため注意が必要です。
中高年の女性に多く、**「急にお腹が痛くなって血便が出る」**のが典型的です。
多くは自然に治りますが、まれに壊死や穿孔に進むこともあるため注意が必要です。
中高年の女性に多く、**「急にお腹が痛くなって血便が出る」**のが典型的です。
どうして起こるの?
- 大腸の血流が一時的に低下することで発症
- 主な誘因
・便秘・強い腹圧 → 血流障害
・動脈硬化(高齢者・高血圧・糖尿病・脂質異常症)
・脱水
・薬剤(便秘薬、降圧薬、利尿薬など) - 好発部位o左側の結腸(特にS状結腸〜下行結腸)
・血流が境界となる「watershed area」に多い
どんな症状が出るの?
- 突然の左下腹部痛
- 数時間以内に鮮血便・血性下痢
- 吐き気、発熱を伴うこともある
- 多くは数日で症状が軽快
⚠️ ごく一部の重症例では
- 腸管壊死、穿孔 → 激しい腹痛、腹膜炎症状
- 大量下血
どうやって診断するの?
- ほとんど問診と診察でおおよその診断は可能
- 血液検査:白血球・CRP上昇、重症例ではLDH・CK上昇
- 大腸内視鏡(急性期):浮腫状・暗赤色の粘膜、地図状潰瘍、出血斑
通常急性期に内視鏡は不要なことがほとんどです。症状改善後に大腸がんや炎症性腸疾患の除外の為に内視鏡をお勧めします。 - CT・エコー:腸管壁肥厚、脂肪織濃度上昇、虚血範囲の確認
- 他疾患との鑑別 感染性腸炎、炎症性腸疾患、大腸癌など

虚血性大腸炎の超音波(エコー)画像
治療はどうするの?
▶ 軽症〜中等症(大部分)
▶ 重症例(壊死・穿孔・腹膜炎)
- 軽症は対症療法のみ
- 症状が強い場合は絶食+点滴補液で腸管安静
- 症状に応じて鎮痛薬、通常抗生剤は不要
▶ 重症例(壊死・穿孔・腹膜炎)
- 緊急手術(壊死腸管切除、人工肛門造設など)
📝まとめ
| 項目 | 内容 |
| 病名 |
虚血性大腸炎 |
| 主な原因 | 血流低下(便秘、動脈硬化、脱水、薬剤など) |
| 主な症状 | 急な左下腹部痛、血便 |
| 好発部位 | 左側結腸(S状結腸〜下行結腸) |
| 診断 | 大腸内視鏡・CT・エコー、血液検査 |
| 治療 | 軽症:保存的治療、重症:外科手術 |
| 注意点 | 壊死・穿孔に進展することがあり、早期受診が必要 |
患者さんへの注意点
虚血性大腸炎は、多くの場合は数日で自然に良くなります。
ただし、**「急な腹痛と血便」**が典型的な症状で、感染性腸炎や大腸癌と区別が必要です。
再発することもあり、便秘や脱水の予防、生活習慣病のコントロールが大切です。
強い腹痛や血便が続く場合は、早めに受診してください。
当院には開院以来かなり多くの虚血性大腸炎の患者様が来院しています。多くは通院治療が可能です。入院適応になるのは、出血が多い・痛みが強い・食事が摂れない・抗血栓剤(血をサラサラにする薬)を内服中で止血が得られない方、がほとんどです。症状の改善後に大腸カメラをお勧めします。
ただし、**「急な腹痛と血便」**が典型的な症状で、感染性腸炎や大腸癌と区別が必要です。
再発することもあり、便秘や脱水の予防、生活習慣病のコントロールが大切です。
強い腹痛や血便が続く場合は、早めに受診してください。
当院には開院以来かなり多くの虚血性大腸炎の患者様が来院しています。多くは通院治療が可能です。入院適応になるのは、出血が多い・痛みが強い・食事が摂れない・抗血栓剤(血をサラサラにする薬)を内服中で止血が得られない方、がほとんどです。症状の改善後に大腸カメラをお勧めします。

